提醒成功
搜索
Rabbit Polyclonal Antibody to PARS2
-
货号:
P02755 -
别名:
proRS; MT-PRORS -
应用:
WB,IHC -
反应种属:
Human, Mouse, Rat -
抗体类型:
Primary antibody -
Swissprot:
Q7L3T8 -
规格:
-
数量:
-+ -
说明书:
目录价¥1980
Rabbit Polyclonal Antibody to PARS2
Description |
|---|
This gene encodes a putative member of the class II family of aminoacyl-tRNA synthetases. These enzymes play a critical role in protein biosynthesis by charging tRNAs with their cognate amino acids. This protein is encoded by the nuclear genome but is likely to be imported to the mitochondrion where it is thought to catalyze the ligation of proline to tRNA molecules. Mutations have been found in this gene in some patients with Alpers syndrome. |
Specification |
|
|---|---|
| Aliases | proRS; MT-PRORS |
| Swissprot | Q7L3T8 |
| WB Predicted band size | 53 kDa |
| Host/Isotype | Rabbit IgG |
| Antibody Type | Primary antibody |
| Storage | Store at 4°C short term. Aliquot and store at -20°C long term. Avoid freeze/thaw cycles. |
| Species Reactivity | Human, Mouse, Rat |
| Immunogen | Fusion protein of human PARS2 |
| Formulation | Purified antibody in PBS with 0.05% sodium azide and 50% glycerol. |
Application |
|
|---|---|
| WB | 1/200-1/1000 |
| IHC | 1/30-1/150 |
| ELISA | 1/5000-1/10000 |
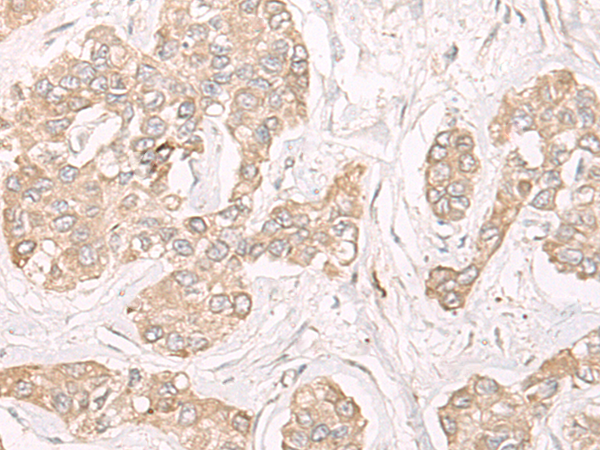
Product Image
- Gel: 8%SDS-PAGE, Lysate: 40 μg, Lane: A549 cell lysate, Primary antibody: P02755(PARS2 Antibody) at dilution 1/250, Secondary antibody: Goat anti rabbit IgG at 1/8000 dilution, Exposure time: 10 seconds
- The image is immunohistochemistry of paraffin-embedded Human liver cancer tissue using P02755(PARS2 Antibody) at dilution 1/20. (Original magnification: ×200)
- The image is immunohistochemistry of paraffin-embedded Human prostate cancer tissue using P02755(PARS2 Antibody) at dilution 1/20. (Original magnification: ×200)
For Reseach Only
Application Key:WB - Western Blot | IHC - Immunohistochemistry | ICC - Immunocytochemistry | FCM - Flow Cytometry | ELISA - Enzyme-linked Immunosorbent Assay | IP - Immunoprecipitation
#P02755
相关产品

微信/QQ登录


首页
