提醒成功
搜索
Rabbit Polyclonal Antibody to NECTIN4
-
货号:
P01590 -
别名:
LNIR; PRR4; EDSS1; PVRL4; nectin-4 -
应用:
WB,IHC -
反应种属:
Human, Mouse -
抗体类型:
Primary antibody -
Swissprot:
Q96NY8 -
规格:
-
数量:
-+ -
说明书:
目录价¥1980
Rabbit Polyclonal Antibody to NECTIN4
Description |
|---|
This gene encodes a member of the nectin family. The encoded protein contains two immunoglobulin-like (Ig-like) C2-type domains and one Ig-like V-type domain. It is involved in cell adhesion through trans-homophilic and -heterophilic interactions. It is a single-pass type I membrane protein. The soluble form is produced by proteolytic cleavage at the cell surface by the metalloproteinase ADAM17/TACE. The secreted form is found in both breast tumor cell lines and breast tumor patients. Mutations in this gene are the cause of ectodermal dysplasia-syndactyly syndrome type 1, an autosomal recessive disorder. Alternatively spliced transcript variants have been found but the full-length nature of the variant has not been determined. |
Specification |
|
|---|---|
| Aliases | LNIR; PRR4; EDSS1; PVRL4; nectin-4 |
| Swissprot | Q96NY8 |
| WB Predicted band size | 55 kDa |
| Host/Isotype | Rabbit IgG |
| Antibody Type | Primary antibody |
| Storage | Store at 4°C short term. Aliquot and store at -20°C long term. Avoid freeze/thaw cycles. |
| Species Reactivity | Human, Mouse |
| Immunogen | Fusion protein of human NECTIN4 |
| Formulation | Purified antibody in PBS with 0.05% sodium azide and 50% glycerol. |
Application |
|
|---|---|
| WB | 1/500-1/2000 |
| IHC | 1/100-1/200 |
| ELISA | 1/5000-1/10000 |
Product Image
- Gel: 8%SDS-PAGE, Lysate: 40 μg, Lane: MCF7 cell lysate, Primary antibody: P01590(NECTIN4 Antibody) at dilution 1/550, Secondary antibody: Goat anti rabbit IgG at 1/5000 dilution, Exposure time: 2 minutes
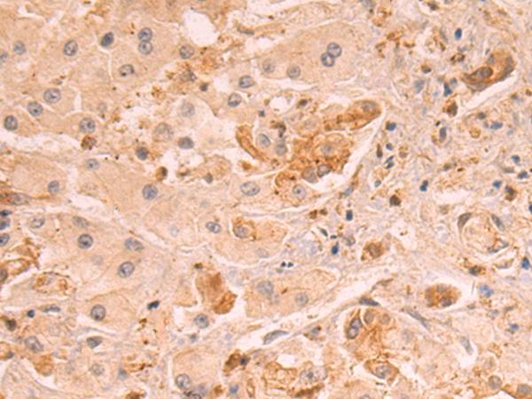
- The image is immunohistochemistry of paraffin-embedded Human liver cancer tissue using P01590(NECTIN4 Antibody) at dilution 1/90. (Original magnification: ×200)
- The image is immunohistochemistry of paraffin-embedded Human thyroid cancer tissue using P01590(NECTIN4 Antibody) at dilution 1/90. (Original magnification: ×200)
For Reseach Only
Application Key:WB - Western Blot | IHC - Immunohistochemistry | ICC - Immunocytochemistry | FCM - Flow Cytometry | ELISA - Enzyme-linked Immunosorbent Assay | IP - Immunoprecipitation
#P01590
相关产品

微信/QQ登录


首页
